ストレートネックの原因と施術

ストレートネックの原因と整体院CUCULE 池上での施術について

首や肩の痛みでお悩みではございませんか?
もしかしたらストレートネックが原因かもしれません。

スマホやPCの普及により”ストレートネック”という言葉にも聞き馴染みがあるという方も多いのではないでしょうか。

当院でも、反り腰や巻き肩に次いでストレートネックでお悩みというの方のご相談が多いです。
ここではストレートネックの原因と当院でのストレートネックに対する施術についてご紹介いたします。

ストレートネックとは

ストレートネックとは、本来あるべき頚椎(首の骨)の前弯(前カーブ)が減少してしまった状態をいいます。

ストレートネックを専門的に言い換えると「頚椎の前弯の減少」となります。
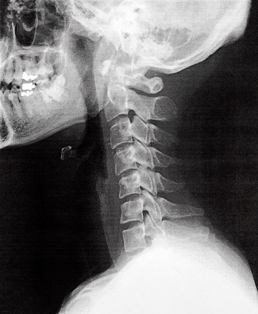
下記の写真のような状態です↓

ストレートネックの原因についての解説

上記の写真では本来あるべき頚椎の前弯がなくなり、頸椎のならびがストレートになっています。
下記の写真のような前弯が頚椎には必要なのです。

ストレートネックの原因についての解説

ストレートネックになると、神経や血管が圧迫され、頭痛や手のしびれなどの症状が出現しやすくなります。
また、肩こりや首こりの原因にもなります。

 

ストレートネックの原因

ストレートネックの原因を局所的な問題と全体的な問題に分けて考えてみます。

まず、局所的な問題から。
局所的な問題は、首の前側の筋肉の硬さ(短縮)です。
スマホやPC作業中など、首が前に出ている姿勢が続くと首の前側の筋肉が縮まり固まってしましいます。
その結果頚椎の前弯が減少しストレートネックのような状態になります。

全体的な問題は、骨盤や背骨の歪みです。
例えば、下記の図のように猫背姿勢で座っていると、骨盤は後傾(後ろに傾く)し、背骨は大きなC字状になります。
その結果、頭が前方にずれ、ストレートネックのような状態になります。
ストレートネックを引き起こす原因は様々ありますが、多くはこのような全体的な不良姿勢が原因となります。

ストレートネックの原因についての解説
ストレートネックを治すには

ストレートネックの多くは骨自体が変形しているわけではなく、頸椎の前弯が少なくなっているだけです。
そのため、整体で的確にアプローチをすることで、ストレートネックの改善が期待できます。

当院ではストレートネックに対して、
頚椎周囲の筋肉を緩め、頚椎の動きを付けること(局所的)、骨盤や背骨ののバランスを調整し頚椎への負荷を軽減させること(全体的)の2つの目的からアプローチしていきます。

ストレートネックでお悩みの方、肩こり、首こり、頭痛などの症状でお悩みの方、
是非整体院CUCULEにご相談下さい。

 

Menu

メニュー/料金
 
整体

60分 7700円
80分 10000円

お身体の状態に合わせて全身の筋肉や関節にアプローチをし、頭から足先まで全身を調整いたします。
肩こり・腰痛・頭痛・膝痛などの症状はもちろん、ストレートネックや猫背、反り腰などの歪みや姿勢のお悩みにもお応えする当院の基本メニューになります。

 

ヘッドケア整体

30分 5500円

頭蓋骨は23個の骨で構成され、約49種の筋肉が付着します。頭蓋骨を覆っている筋肉を丁寧に調整致します。頭痛や頭重感、眼精疲労でお悩みの方におすすめのメニューです。

 

産後ケア整体

30分 4400円
60分 6600円

産後の骨盤矯正はもちろん、肩こりや腰痛、腱鞘炎など様々な産後のお悩みに対応致します。
家事・育児により負担のかかったお身体を丁寧に調整致します。


 

▼施術動画▼

ご予約はこちら

 

完全予約制となっております。
LINEもしくはメール、お電話にてご予約下さい。

 

 

LINE・メールのご予約は24時間承っております。

 

【お電話での予約をご希望の方へ】

施術中はお電話に出れない場合がございます。
施術中の場合はこちらから折り返しご連絡致します。

パソコン|モバイル
ページトップに戻る